脳腫瘍とは
脳腫瘍とは
脳腫瘍とは、脳実質だけでなく髄膜(脳を包む膜)、下垂体(ホルモンを分泌する臓器)、脳神経(脳から発生した神経)など頭の中のあらゆる組織から発生した腫瘍の総称でです。原発性(転移ではない)脳腫瘍の発生率は人口10万人あたり年間15-20人であり、希少な腫瘍の部類になります。
代表的な脳腫瘍の頻度順に①髄膜腫②神経膠腫③下垂体腺腫④神経鞘腫があります。また、他の臓器のがんが転移する転移性脳腫瘍や稀な小児の脳腫瘍もありますが、今回は成人の原発性脳腫瘍について解説します。
近年、脳腫瘍分野でも多くの遺伝子変異の発見が進んでおり、細胞遺伝子レベルの異常が原因と考えられています。内臓のがんのように、喫煙、飲酒などの環境因子リスクはいわれていません。
腫瘍が脳のどの部分にできるかによって症状は様々です。手足の麻痺やしゃべりにくい、言葉が出てこないなど脳卒中に似たような症状が出ることがあります。いずれも大きな脳腫瘍の場合は頭の中の圧が上がり、慢性的な頭痛(早朝に多い)や嘔吐、視力低下を伴うことがあります。また、てんかん発作(意識障害やけいれん)を発症することも特徴です。

比較的に短時間で撮影できるCT検査や、より精密に調べることのできるMRI検査を行います。疑わしい場合は造影剤を使用します。画像診断は脳腫瘍の治療方針を決定するうえでも非常に重要です。診断が難しい場合や稀な脳腫瘍の場合は生検術(組織採取)を行って病理検査で診断をつけることもあります。

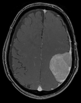
① 髄膜から発生する腫瘍(髄膜腫)を認める

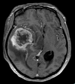
② 脳実質内に腫瘍(神経膠腫)を認める
関連ページ:脳腫瘍の治療について
代表的な脳腫瘍の頻度順に①髄膜腫②神経膠腫③下垂体腺腫④神経鞘腫があります。また、他の臓器のがんが転移する転移性脳腫瘍や稀な小児の脳腫瘍もありますが、今回は成人の原発性脳腫瘍について解説します。
脳腫瘍の発生要因は?
近年、脳腫瘍分野でも多くの遺伝子変異の発見が進んでおり、細胞遺伝子レベルの異常が原因と考えられています。内臓のがんのように、喫煙、飲酒などの環境因子リスクはいわれていません。
脳腫瘍の症状は?
腫瘍が脳のどの部分にできるかによって症状は様々です。手足の麻痺やしゃべりにくい、言葉が出てこないなど脳卒中に似たような症状が出ることがあります。いずれも大きな脳腫瘍の場合は頭の中の圧が上がり、慢性的な頭痛(早朝に多い)や嘔吐、視力低下を伴うことがあります。また、てんかん発作(意識障害やけいれん)を発症することも特徴です。

脳腫瘍の診断は?
比較的に短時間で撮影できるCT検査や、より精密に調べることのできるMRI検査を行います。疑わしい場合は造影剤を使用します。画像診断は脳腫瘍の治療方針を決定するうえでも非常に重要です。診断が難しい場合や稀な脳腫瘍の場合は生検術(組織採取)を行って病理検査で診断をつけることもあります。
造影MRI検査

① 髄膜から発生する腫瘍(髄膜腫)を認める

② 脳実質内に腫瘍(神経膠腫)を認める
関連ページ:脳腫瘍の治療について
執筆者

-
医長(講師)
平井 聡
Satoshi Hirai
専門分野
脳腫瘍の外科
認定医・専門医・指導医
日本脳神経外科学会認定脳神経外科専門医、日本脳卒中学会認定脳卒中専門医、日本神経内視鏡学会神経内視鏡技術認定医
- 出身大学
- 川崎医科大学 H22.3 卒業

- 医長(講師) 平井 聡 Satoshi Hirai
専門分野
脳腫瘍の外科
認定医・専門医・指導医 日本脳神経外科学会認定脳神経外科専門医、日本脳卒中学会認定脳卒中専門医、日本神経内視鏡学会神経内視鏡技術認定医
- 出身大学
- 川崎医科大学 H22.3 卒業


